
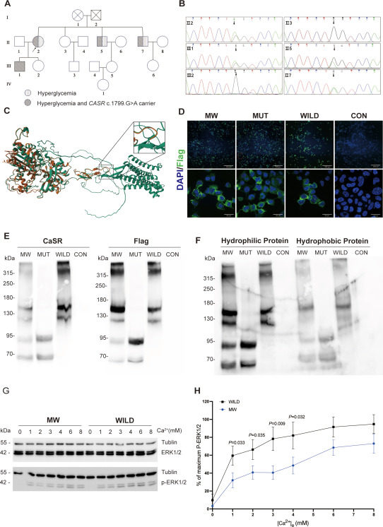
Identification and functional characterization of a novel nonsense mutation of CASR gene in a familial hypocalciuric hypercalcemia pedigree


Familial hypocalciuric hypercalcemia (FHH), a rare cause of hypercalcemia, features a benign, lifelong mild-to-moderate hypercalcemia. It is often misdiagnosed as primary hyperparathyroidism, so patients may wrongly undergo parathyroidectomy. Thus, it is important to raise the suspicion of FHH before the diagnosis of primary hyperparathyroidism. Familial hypocalciuric hypercalcemia 1 (FHH1) is caused by heterozygous inactivating mutations of calcium-sensing receptor (CaSR) gene, and CaSR is a 1078-amino acid G-protein-coupled receptor and is mostly expressed in the parathyroid gland and renal tubule to maintain the homeostasis of calcium by regulating parathyroid hormone secretion and urinary calcium excretion. So far, over 150 different germline mutations of CASR in FHH1 have been reported, with 85% being missense mutations and only 3%–4% being nonsense mutations.1,2 In this study, we report a novel heterozygous nonsense mutation on the CASR (c.1799 G > A, p.Trp600∗) gene; this variant is predicted to cause an amino acid alteration from tryptophan to a premature stop codon in the extra-cellular domain, and the affected proband presented with mild hypercalcemia, low calcium to creatinine clearance ratio, and hyperglycemia with reserved insulin secreting function.
