全部
logo

METTL3 in Cr (VI)-induced carcinogenesis and CXCL6 expression associated with lung cancer development

Rapid Communications

METTL3 in Cr (VI)-induced carcinogenesis and CXCL6 expression associated with lung cancer development

Liu Jie
Han Xiao
Sun Fan-Li
Wang Xue
Wang Lin
Zhao Yan-Qiu
Liu Wen-jing
Jiang Bing-Hua
Genes & Diseases第13卷, 第2期纸质出版 2026-03-01在线发表 2025-07-24
17800

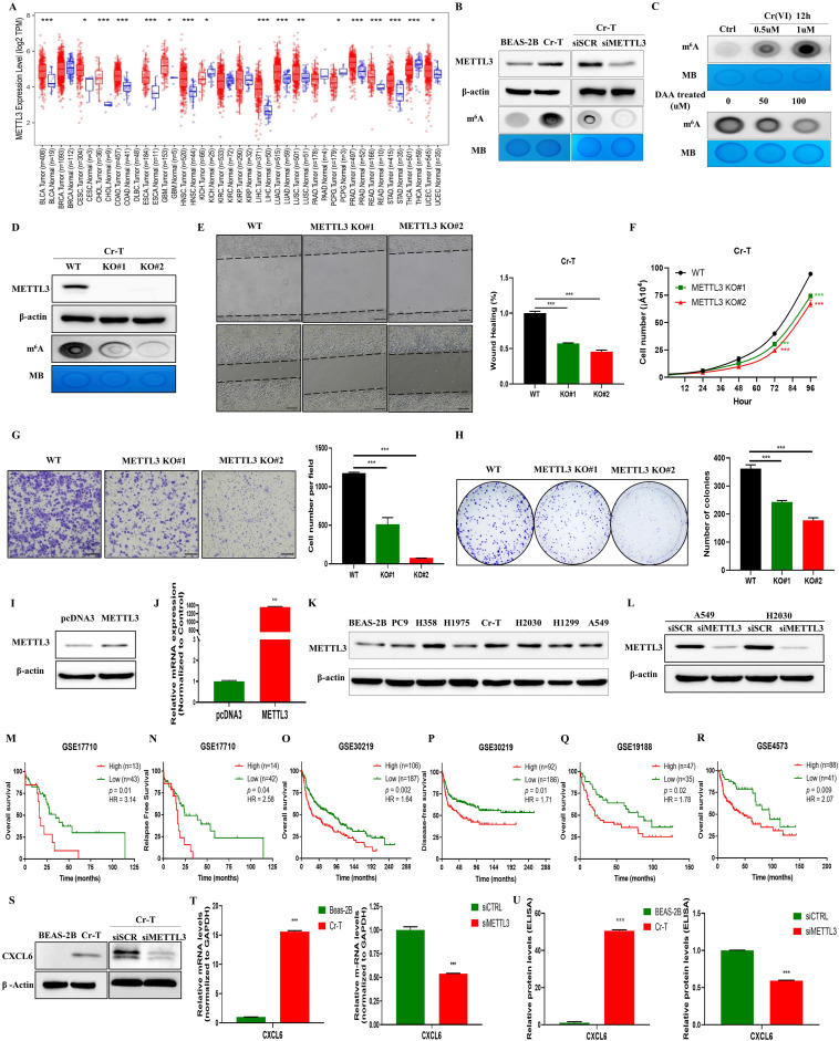
Environmental carcinogens from air pollution and metal exposure have emerged as major sources for inducing cancers. Epidemiological data have shown that hexavalent chromium (Cr [VI]) is linked to cancer development. A list of evidence supports the association between occupational exposure to hexavalent chromium and various cancers, especially lung cancer.1 However, the underlying mechanisms by which Cr (VI) induces cancers are still unclear. As the most prevalent mRNA modification, N6-methyladenosine (m6A) provided a novel form of post-transcriptional gene regulation. m6A regulators were found to be closely correlated with specific malignant tumors, including lung cancer. Among these, METTL3, the core methyltransferase for m6A modification, has gradually attracted much attention due to its cancer-promoting role in multiple cancers.2 However, the exact roles of METTL3 and m6A methylation in carcinogenesis induced by chronic chromium exposure and lung cancer development remain unclear.

pic