全部
logo

Role of angiogenesis-related lncRNAs in tumor microenvironment and prognosis of lung adenocarcinoma

Rapid Communications

Role of angiogenesis-related lncRNAs in tumor microenvironment and prognosis of lung adenocarcinoma

Li Lifeng
Yang Yaqi
Peng Mengle
Fan Zhirui
Duan Xiaoran
Xue Ruyue
Lv Xuefeng
Cheng Ming
Zhao Jie
Genes & Diseases第12卷, 第6期纸质出版 2025-11-01在线发表 2025-06-11
1800

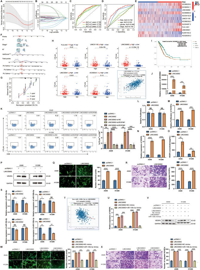
Long noncoding RNAs (lncRNAs), especially angiogenesis-related lncRNAs (ARLncs), are vital cancer biomarkers.1,2 This study explores their role in lung adenocarcinoma (LUAD), focusing on their influence on the tumor environment and angiogenesis. We identified 12 ARLncs to develop a prognostic signature independent of conventional indicators for LUAD patients. Notably, the low-risk group showed better outcomes, higher cytotoxic T-lymphocyte-associated protein 4 (CTLA4) expression, and improved response to CTLA4 checkpoint inhibitors. LINC00892 stood out as a key regulator of CTLA4 expression, linked to increased levels via vascular endothelial growth factor A (VEGFA). LINC00892 overexpression in LUAD cells boosted human umbilical vein endothelial cell (HUVEC) proliferation and migration by sponging miR-130b-3p and controlling VEGFA. This study introduces an innovative ARLncs-based prognostic model for LUAD, highlighting LINC00892's role in modulating CTLA4 expression through VEGFA, potentially guiding immunotherapy strategies for LUAD.

pic