全部
logo

Hematological and neurological expressed 1-mediated anoikis resistance promotes anaplastic thyroid cancer metastasis

Rapid Communications

Hematological and neurological expressed 1-mediated anoikis resistance promotes anaplastic thyroid cancer metastasis

Li Huangcan
Fan Simiao
Gong Zhongqin
Nie Chunlei
Liu Jiangqi
Xue Lingbin
Zeng Xianhai
Chan Jason Ying Kuen
Tong Michael Chi Fai
Chen George Gong
Genes & Diseases第13卷, 第2期纸质出版 2026-03-01在线发表 2025-02-19
17201

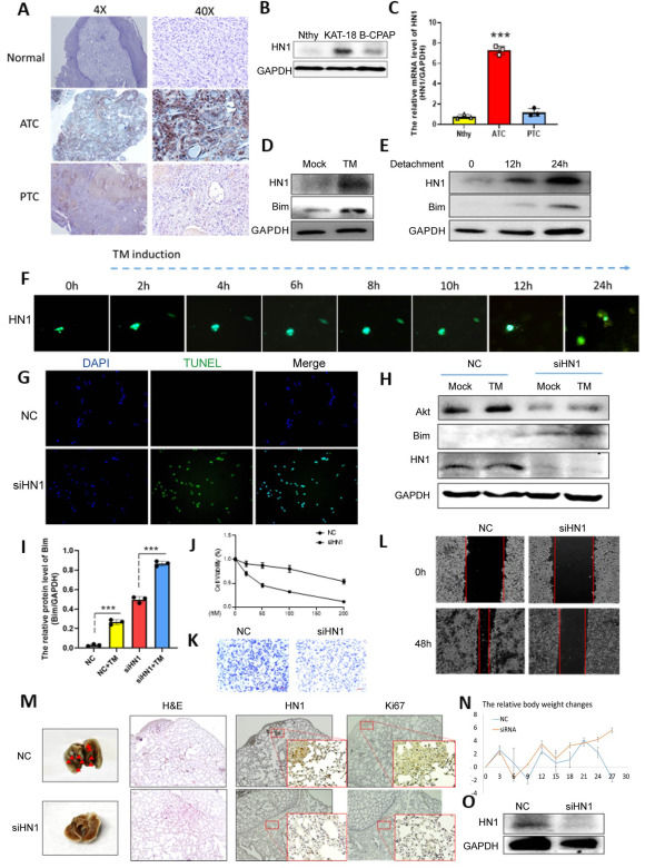
The plasticity of cancer cells enables them to adapt to selective pressures, further enhancing their survival advantage and resistance to apoptosis. Cancer cell plasticity operates through multiple mechanisms. Among them, the key to successful cancer metastasis mainly depends on epithelial–mesenchymal transition (EMT) and anoikis resistance. EMT enables cancer cells to acquire migratory and invasive capabilities, allowing them to overcome tissue barriers and adapt to new environments.1 Anoikis resistance enables detached cancer cells to circumvent the apoptotic response that occurs upon detachment from their normal extracellular matrix environment.2 Hematological and neurological expressed 1 (HN1) has been shown to influence integrin-mediated cell adhesion and signaling, critical for cell-extracellular matrix interactions and anchorage-dependent cell survival.3 HN1 can determine the survival of cancer cells under conditions of extracellular matrix adhesion changes through integrins. These effects further validate the importance of HN1 in the regulation of cancer cell survival and metastasis. Though HN1 acts as an EMT regulator or mediator for downstream signaling pathways in different cancers, the role of HN1 in anoikis resistance has not been reported before.

pic