
The effects of repeated propofol anesthesia on spatial memory and long-term potentiation in infant rats under hypoxic conditions


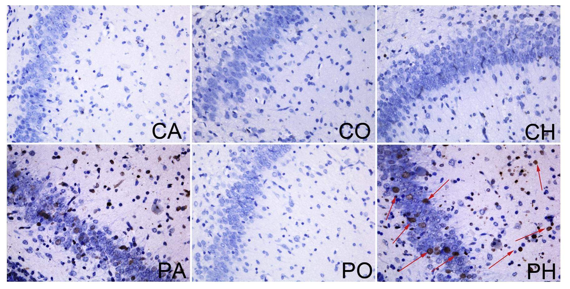
Propofol is widely used as an intravenous drug for induction and maintenance in general anesthesia. Hypoxemia is a common complication during perianesthesia. We want to know the effect of propofol on spatial memory and LTP (Long-term potentiation) under hypoxic conditions. In this study, 84 seven-day-old SpragueeDawley rats were randomly assigned into six groups (n=14) -four control groups: lipid emulsion solvent + 50% oxygen (CO), lipid emulsion solvent + room air (CA), lipid emulsion solvent + 18% oxygen (CH), and propofol + 50% oxygen (propofoleoxygen, PO); and two experiment groups: propofol + room air (propofol eair, PA), and propofol + 18% oxygen (propofolehypoxia, PH). After receiving propofol (50 mg/kg) or the same volume of intralipid intraperitoneal (5.0 ml/kg), injected once per day for seven consecutive days, the rats were exposed to 18% oxygen, 50% oxygen and air, until recovery of the righting reflex. We found that the apoptotic index and activated caspase-3 increased in the PH group (P<0.05) compared with the PA group, fEPSP (field excitatory postsynaptic) potential and success induction rate of LTP reduced in all propofol groups (P<0.05). Compared with the PO group, the fEPSP and success induction rate of LTP reduced significantly in the PA and PH groups (P<0.05). Moreover, compared with CH group, the average time of escape latency was longer, and the number of platform location crossings was significantly reduced in the PH group (P<0.05). Thus, we believe that adequate oxygen is very important during propofol anesthesia.
